عبير بالريش وتقوى نفزي
منذ عقود، ظلّ التصلب اللويحي المتعدد (MS) واحداً من أكثر الأمراض العصبية إثارة للجدل في وسائل الإعلام العربية، خاصةً مع زيادة أعداد المصابين المسجلين به عالمياً من 2.3 مليون في 2013 إلى 2.8 مليون في 2020 و2.9 مليون في 2023، وفق بيانات Atlas of Ms بالتعاون مع منظمة الصحة العالمية.

خريطة انتشار مرض التصلب اللويحي في العالم العربي لسنة 2023. بعض الدول لا تتوفر بياناتها لكن الاهتمام الإعلامي بالمرض رافقته موجات من المعلومات المضللة، بدءاً من الترويج لعلاجات "معجزة" لم تثبت فعاليتها، وصولاً إلى المبالغة في نتائج أبحاث أولية محدودة، أو تقديم تجارب فردية باعتبارها حقائق علمية مثبتة. وفي حين يُتوقع أن تنتشر هذه المعلومات عبر وسائل التواصل الاجتماعي، فإن ظهورها في بعض البرامج التلفزيونية والتقارير الصحفية يزيد من خطورتها، لأنها تكتسب غطاءً من المصداقية يدفع الجمهور والمرضى إلى تبنّي خيارات غير آمنة والتخلي عن العلاجات الموصى بها طبياً. يرصد هذا التقرير أبرز الادعاءات المضللة المتداولة حول التصلب اللويحي في الإعلام التقليدي والرقمي، ويفحص صدقيتها بالاستناد إلى الأدلة العلمية والمراجع الطبية، في إطار تعزيز الإعلام الصحي المسؤول ومكافحة التضليل، الذي قد ينعكس مباشرة على مسار العلاج وجودة حياة المرضى.
أثر الرضاعة الطبيعية على التصلب اللويحي:
في الثالث من شباط/ فبراير 2020، وعبر قناته على "يوتيوب" التي يتابعها 2.56 مليون مشترك، صرّح محمد فائد، صاحب القناة الذي يصف نفسه "خبيراً في التغذية العلاجية"؛ بأن أمراض المناعة الذاتية، ومنها التصلب اللويحي، لم تكن موجودة قبل السبعينيات، زاعماً أن عدم تلقي الطفل الرضاعة الطبيعية سبب رئيسي للمرض. إلا أنّ الأبحاث الطبية تفند هذا الادعاء؛ إذ تشير دراسة نشرتها مجلة Neurological Sciences في تشرين الأول/ أكتوبر 2009، إلى أن أول حالة معروفة للتصلب اللويحي سُجلت عام 1822 لدى أوغسطس ديستي، حفيد ملك المملكة المتحدة جورج الثالث. كما أوضحت دراسة نشرتها مجلة Clinical Medicine & Research المُحكّمة، في 2003، أن المرض وُصف علمياً منذ القرن التاسع عشر، وشُخّص رسمياً في إنجلترا عام 1873 على يد الطبيب ويليام موكسون، وفي الولايات المتحدة عام 1878 على يد الطبيب إدوارد سيغوين. وفي العرض الزمني هنا نستعرض أهم التواريخ التي ارتبطت بمرض التصلب اللويحي منذ ظهوره. أما بشأن الرضاعة الطبيعية، فليس ثمّة دليل علمي حاسم يربطها بالإصابة بالتصلب اللويحي، في المقابل، وجدت دراسة نشرتها مجلة Multiple Sclerosis and Related Disorders المحكمّة في 2024 أن الرضاعة الطبيعية قد تقلل من خطر الإصابة بالتصلب المتعدد لدى الرضع ذوي التاريخ العائلي للمرض، علماً بأنّ هذا التأثير الوقائي يقتصر على الذكور. دراسة أخرى نشرتها مجلة "Jama Neurology" المحكمة، في كانون الأول/ ديسمبر 2019، تشير إلى أن الرضاعة الطبيعية قد تحمي من انتكاسات ما بعد الولادة عند النساء المصابات بالتصلب اللويحي.
هل يتسبب الإجهاد وضغط الفقرات في الإصابة بالتصلب اللويحي؟
من بين الادعاءات التي حازت انتشاراً كبيراً، ما روّج له محمد العامري الذي يُعرّف نفسه كـ"مختص في العلاج بلسعات النحل"، من أنّ التصلب اللويحي ناجم عن "الإجهاد وضغطٍ على الفقرات". وفي كانون الثاني/ يناير 2023، وخلال لقاء في برنامج "سيدتي" على قناة روتانا خليجية، قال محمد العامري: "أنا أسمي التصلب اللويحي بتصلب الفقرات"، مضيفاً أنّ مسببات التصلب اللويحي، وفقاً لرأيه، تتمثل في الإجهاد الذي قد يُسبب ضغطاً على الفقرات التي تضغط بدورها على الأعصاب. غير أنّ المراجع العلمية تناقض ادعاء العامري، فوفقاً للمعهد الوطني الأميركي للاضطرابات العصبية والسكتة الدماغية (NINDS)، فإن التصلب اللويحي مرض مناعي ذاتي مزمن يصيب الألياف العصبية داخل الجهاز العصبي المركزي، وعليه، فإنّ الإصابة المحدثة في الفقرات، نتيجة الإجهاد أو غير ذلك، لا علاقة لها بالإصابة بالتصلب اللويحي.

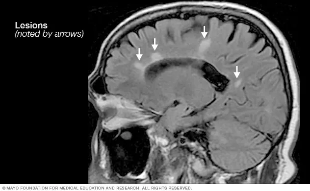
مسح رنين مغناطيسي لدماغ يظهر آفات بيضاء مرتبطة بالتصلب اللويحي (Mayo Clinic) فضلاً عن ذلك، فإنّ دراسات وجدت أن العلاجات التدخلية والميكانيكية للأوردة والانضغاطات النخاعية وتوترات العضلات والفقرات، غير مجدية، بل غير موصى بها، مثل دراسة نشرتها الأكاديمية الأميركية لعلم الأعصاب AAN) في أيلول/ سبتمبر 2018، التي خلصت نتائجها إلى أنه لا يُنصح بإجراء جراحات توسيعية للوريد الوداجي، بغرض تحسين أعراض مرض التصلب اللويحي. وكان العامري قد روّج أيضاً لعلاج التصلب اللويحي بلسعات النحل الحي في اللقاء نفسه، وكذلك عبر حسابه على منصة إكس، وهو ادعاء يناقض المصادر العلمية الموثّقة، مثل الدراسة التي نشرتها الأكاديمية الأميركية لعلم الأعصاب في 2005، وخلصت إلى أن استخدام لسعات النحل لم يُؤدِّ إلى تقليل نشاط التصلب اللويحي عند المصابين به، بل لم يُؤدِّ إلى تحسين الحياة لديهم. ورغم أنّ دراسة أخرى أحدث نُشرت في مجلة Neuropeptides المحكمة في تشرين الأول/ أكتوبر 2024، وصفت سمّ النحل بالعلاج الواعد لأمراض الجهاز العصبي المركزي، إلا أنّها توصلت أيضاً إلى أن لسعات النحل الحي تُشكّل خطراً أكبر متمثلاً في حدوث ردات فعل تحسسية شديدة. وبصورة عامة، لم تخلص هذه الدراسة أو غيرها إلى نتيجة نهائية بإمكانية استخدام لسعات النحل لعلاج التصلب اللويحي بشكل مباشر.
بول الإبل.. علاج غير مثبت للتصلب اللويحي
على مدار سنوات طويلة، انتشرت بشكل كبير الادعاءات المرتبطة بالقدرة العلاجية لبول الإبل لحالات مرضية مختلفة، حتى أصبح التصلب اللويحي من بين الأمراض المستهدفة بالعلاج ببول الإبل، بحسب ما صرح به الطبيب والكاتب جابر القحطاني في مداخلة له في برنامج "موزون" على قناة المجد العلمية بتاريخ 21 آب/ أغسطس 2023، قال فيها إن دراسة لباحثة تُسمّى "حنان"، صدرت في جامعة الملك عبد العزيز بالسعودية، أثبتت أن حليب وبول الإبل فيه شفاء من التصلب اللويحي وأمراض أخرى. وبالبحث عن الدراسة التي استند إليها القحطاني، تبيّن أنها رسالة ماجستير للباحثة حنان محمد الكبكبي، في جامعة الملك عبد العزيز بالفعل، وقد صدرت في عام 2016. وبحسب مستخلص الرسالة الذي تمكنا من الوصول إليه، فإنها لا تدرس التأثير المباشر لبول الإبل والمادة الفعالة فيه على مرض التصلب اللويحي، وإنما تُقيّم السلامة الدوائية للمادة الفعالة في بول الإبل عبر اختبارات معملية على الفئران. وخلصت النتائج المعملية للرسالة إلى أنّه "يمكن اعتبار أن بول الإبل والجزء الفعال منه آمن حتى مع معالجة الفئران لفترات طويلة"، لكنها أشارت إلى الحاجة لإجراء المزيد من الدراسات للتحقق من "النتائج الإيجابية" على أعضاء أخرى مثل القلب والدماغ والأعضاء الليمفاوية.

مستخلص رسالة الماجستير مؤرشف قبل حذفه من موقع جامعة الملك عبد العزيز إذاً، فإن الرسالة نفسها تُؤكد ضرورة إجراء المزيد من الأبحاث على تأثير المادة الفعالة في بول الإبل على الدماغ، الذي يُعد العضو الأساسي في الإصابة بالتصلب اللويحي، المرض الذي يُصيب الجهاز العصبي في الدماغ والحبل الشوكي. ولم تُجرِ منظمة الصحة العالمية، تحديثاً على تعريف التصلب اللويحي كمرض عصبي مزمن لا علاج نهائياً له، وكذلك المعهد الوطني للاضطرابات العصبية والسكتة الدماغية، وغيره من المعاهد والمؤسسات المعنية بالمرض. وجدير بالذكر أن موقع جامعة الملك عبد العزيز قد حذف رسالة الماجستير المذكورة التي كانت تحت عنوان "تقدير سلامة بول الإبل والجزء الفعال المفصول منه في المزارع الخلوية وعلى حيوانات التجارب".
التصلب اللويحي مرض مناعي مزمن
العلاجات الحديثة لمرض التصلب اللويحي في تطور مستمر، لكن رغم أنها قادرة على إبطاء تطور المرض وتحسين جودة حياة المرضى، إلا أنها لا تقدم حلاً نهائياً لمعاناتهم. وما بين ادعاءات عن علاجات "معجزة"، أو تفسيرات بديلة لا تستند إلى دليل، تكمن خطورة المعلومات المضللة، التي تدفع بعض المرضى إلى خيارات غير آمنة، وهو ما يبرز الحاجة الملحة للاعتماد على المراجع الطبية الموثوقة ومقاومة التضليل بوصفه جزءاً أساسياً من حماية الصحة العامة.
أنجز هذا التقرير ضمن مشاريع تخرج "دبلوم أريج لتدقيق المعلومات 2025" للشبكة العربية لمدققي المعلومات (AFCN).
.png)